对于一些肥胖来说,并不是因为吃的问题引起的,也可能是因为身体内分泌发生紊乱引起的。最近对于惠水县的患者丁女士来说,自己的肥胖竟然和肾有关。好在困扰她多年的肥胖,总算是终结了。
3月4号,记者在贵航三〇〇医院的病房见了康复的丁女士,对于她来说,这次住院不仅仅让她的身体恢复正常,血压也降下来了。
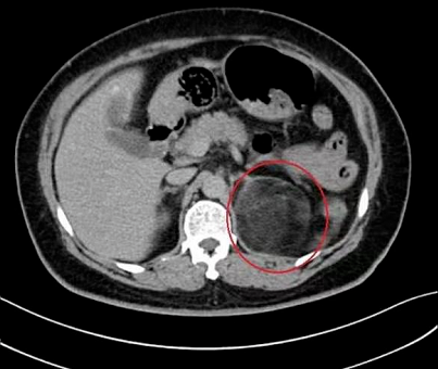
贵航三〇〇医院泌尿科主任李永光说,患者丁女士,住院前是比较肥胖,而且这个肥胖已是好多年了,通过查体发现左侧肾上腺长了一个巨大的肿瘤。初步判断这个肿瘤是造成她肥胖和血压高的罪魁祸首。

据了解,丁女士肾上腺长的肿瘤已经有五年了,可她一直没怎么在意,直到身体发福,血压也高了,这才引起她的重视。
尤其是最近这段时间,丁女士的血压一直是居高不下,这让她意识到问题的严重,不得不住院治疗。医生一检查,丁女士肾上腺的肿瘤已经长到8了厘米,已经严重影响压迫肾脏,需要进行手术摘除。

经过一个星期的精心准备,2月26号,医生对丁女士实施了手术,从丁女士肾上腺上摘除了8厘米大的肿瘤。

贵航三〇〇医院泌尿科主任李永光说,肾上腺一些疾病会出现一种向心性的肥胖,向心性的肥胖,就是满月脸,水牛背这种情况,发现这种情况,就应该注意检查一下肾上腺。另外高血压疾病,现在也比较侧重于,或者说更重视于检查肾上腺有没有问题,往往很多高血压患者,容易发现肾上腺肿瘤。
李医生说,如果发现身体突然发福或者血压升高,一定要引起注意,这可能是身体发出的示警信号,最好是去医院检查一下。